Adenomatous adenomatous polyp is one of the more common types of polyp found in the large intestine. A mass can be cancer in the colonwhich would be discovered in a colonoscopy removed and sent to a pathology lab for a confirmation biopsy.
Flat Ribbon Stool Causes Other Than Colon Cancer Scary Symptoms
Flattened stools together with other symptoms is key.
Flattened stool tumor. The changes in the stools shape and texture are most commonly related to the diet. Blood in or on your stool. Stringy poop is narrow and in some cases almost flat giving it a stringy appearance.
For ibs stools can be flat but providers are unaware as to what causes the stool to present this way says dr. They can become cancerous in fact the most common type of colon cancer develops from this particular polyp class. However if the defecation assumes a subtle pencils like form it could be a sign of the condition.
Weight loss you cant explain. If colorectal cancer is the cause of your narrow stool you might have these other symptoms. The so called ribbon feces could be due to a mass present in the colon or in the rectum that limits the size of the stool.
Belly pain or bloating. Normal stool is about one to two inches in diameter. It may be solid or loose.
Serrated serrated polyps are commonly small though they may vary in size and are found in the lower section of the colon. Changes in your poop habits like diarrhea constipation or bowel incontinence poop leaks anemia. Alone it may mean nothing but with bleeding or a feeling you havent finished or increased frequency are all signs of colorectal cancer and need to be evaluated by a gi specialist.
How To Evaluate Stools With Bristol Stool Chart
Bowel Cancer Symptoms Signs Include Thin Poo What A Healthy
Can Internal Haemorrhoids Cause Grooves Ridges In Poop Pics
Flat Ribbon Stool Causes Other Than Colon Cancer Scary Symptoms
Flat Polyps Why Finding Them Requires Skill Uci Health Orange
We Are A Primary Care Internist A Gastroenterologist And A Man
Poo Chart Reveals What S Normal And What Could Be A Warning Sign
Colon Cancer Vs Ibs Differences Between Symptoms Signs
Can Internal Haemorrhoids Cause Grooves Ridges In Poop Pics
What Causes Thin Or Narrow Stool
Flat Polyps Why Finding Them Requires Skill Uci Health Orange
Poop Appearance What Stool Shape Size Smell Can Tell You
Bowel Cancer Symptoms Signs Include Thin Poo What A Healthy
Poo Chart Reveals What S Normal And What Could Be A Warning Sign
Colon Cancer Vs Ibs Differences Between Symptoms Signs
Ribbon Stools Caused By Ibs Vs By Colon Cancer Comparison
Stringy Poop What Does It Mean And Is It Normal
Signs And Symptoms Of Colon Cancer
Flat Ribbon Stool Causes Other Than Colon Cancer Scary Symptoms
Stringy Poop Causes Treatments And More
Poop Appearance What Stool Shape Size Smell Can Tell You
Bowel Cancer Symptoms What A Healthy Stool Looks Like Express Co Uk
Bowel Cancer Symptoms Signs Include Thin Poo What A Healthy
Colon Polyps Which Ones Are Riskiest For You Health Essentials
Poop Appearance What Stool Shape Size Smell Can Tell You
How To Evaluate Stools With Bristol Stool Chart
Determining Your Dog S Health Through His Feces Whole Dog Journal
Colon Flattening And Parameterization A Flattened Colon With Tl
Causes Of Thin Narrow Stools Besides Colon Cancer Scary Symptoms
How To Evaluate Stools With Bristol Stool Chart
Stool Colors For Adults What Do Different Stool Colors Mean
Colon Cancer Vs Hemorrhoid Symptoms Pictures Differences
4 Ways To Analyze Poop Wikihow
Her Colon Cancer Grew Undiagnosed For 15 Years Now At 40 She S
When Your Stool S Appearance Looks Strange
Https Encrypted Tbn0 Gstatic Com Images Q Tbn 3aand9gcss1bfryd5f0cjudi Zgxwzsqvwofylmig 94pdxwvxwz Igfer
Stringy Poop Causes Treatments And More
Removing A Large Flat Colon Polyp By Emr Without Surgery
How To Evaluate Stools With Bristol Stool Chart
Colon Cancer Vs Hemorrhoid Symptoms Pictures Differences
Stringy Poop Causes Treatments And More
Appearance Of Pencil Stools Of Colon Cancer Compared To Ibs
What Are The Causes Of Hemorrhoids And Anal Fissures
Colon Polyps Which Ones Are Riskiest For You Health Essentials
Poop Appearance What Stool Shape Size Smell Can Tell You
What Are The Causes Of Hemorrhoids And Anal Fissures
When Your Stool S Appearance Looks Strange
Colorectal Cancer Prevention Diagnosis And Therapeutic Options
Stringy Poop Causes Treatments And More
Prostate Tumors Vca Animal Hospital
Ribbon Stools Caused By Ibs Vs By Colon Cancer Comparison
How To Evaluate Stools With Bristol Stool Chart
Pancreatic Cancer Western New York Urology Associates Llc
Poo Chart Reveals What S Normal And What Could Be A Warning Sign
What S A Colonoscopy Really Like
Barium Enema Uses Side Effects Procedure Results
Prostate Problems In Dogs Hypertrophy Prostatitis Cancer Cysts
Flat Ribbon Stool Causes Other Than Colon Cancer Scary Symptoms
Rectal Cancer Symptoms And Signs
Early Warning Signs Of Colon Cancer Conditions Us News
Surgical Tumor Removal In Dogs Procedure Efficacy Recovery
Colon Flattening And Parameterization A Flattened Colon With Tl
Full Text Colorectal Cancer Development And Advances In Screening
Bioactivity Of Oral Linaclotide In Human Colorectum For Cancer
Benign Diseases Of The Colon And Rectum Incl Ct Colonography
Pencil Thin Stool Colon Cancer
Benign Diseases Of The Colon And Rectum Incl Ct Colonography
Colon Flattening And Parameterization A Flattened Colon With Tl
Checking Your Dog For Anal Gland Cancer Dog Cancer Blog
Mast Cell Tumors In Cats Vca Animal Hospital
Colon Polyps Causes Symptoms Diagnosis And Treatment
Adhesion Molecules In Colon Cancer Download Scientific Diagram
Https Pubs Rsna Org Doi Pdf 10 1148 Rg 2018170110
Melanosis Coli An Overview Sciencedirect Topics
Vet Tech Custer Mcdermott Animal Hospital A Veterinary Clinic In
The Scoop On Poop 5 Facts You Need To Know Health Essentials
Is The Interstitium Really A New Organ The Scientist Magazine
Bowel Resection Procedure Recovery Blood Tube Removal Pain
Bristol Stool Chart What It Can Tell You About Your Health
The 20 Most Ignored Cancer Symptoms In Women And Men
For Women Only Cancer Symptoms You Re Most Likely To Ignore
Nursing Hdp401 Lecture Notes Spring 2018 Lecture 2 Phenylalanine
Frontiers Lactobacillus Casei Variety Rhamnosus Probiotic
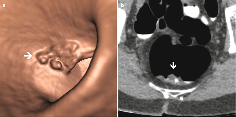
Ct Colonographic Images Show A Large Proved Polyp That Simulates
Poop Appearance What Stool Shape Size Smell Can Tell You
Symptoms Of Prostate Cancer In Dogs
Illustration Of Ctc Images With Different Bowel Preparations A
Ribbon Stools Caused By Ibs Vs By Colon Cancer Comparison
What S A Colonoscopy Really Like
Black Specks In Stool Natural Colon Cleanse
Https Pubs Rsna Org Doi Pdf 10 1148 Rg 2018170110
Lung Cancer Squamous Cell Carcinoma In Dogs Symptoms Causes
Stringy Poop Causes Treatments And More
Https Pubs Rsna Org Doi Pdf 10 1148 Rg 2018170110





0 Response to "Flattened Stool Tumor"
Post a Comment